

CTは歯周病の診断をする上でも大切です。
パノラマ写真(2D)で説明されるより、CT画像(3D)で説明されたほうが、見たままで納得されると思います。
中等度の歯周病のCT画像です。

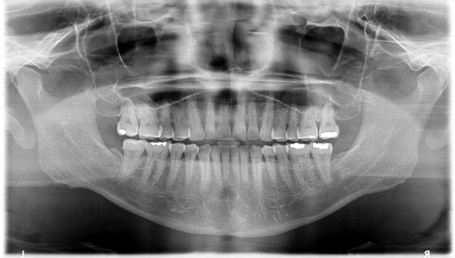
パノラマ写真(2D)です。パノラマ写真では、1度に歯全体の状態が把握できます。
歯周病と全身疾患はこちらをクリック







CT画像(3D)でみてみましょう。
上顎・下顎、右・真中・左 と6分割のCT画像です。
パノラマ写真(2D)ではわかりにくいですが、CT画像(3D)では、歯周病の進行具合は”みたまま”なので現状を把握するのには理解しやすいとおみます。
いつもドキドキしながら歯医者に通う子供さんたちに、
歯医者での職業体験を通し
1.歯の大切さ
2.歯の磨き方
3.歯への関心をもってもらい、
歯医者に通院することは、ワクワク楽しいという経験が出来ると
思います。
『BISTRO SMAP』の木村拓哉さんを意識した衣装でした。
参加者全員、『?????』と思ったのか誰もイジってくれません
でした。
『キセキ -あの日のソビト-』は、2017年1月28日に公開された日本映画。松坂桃李と菅田将暉のダブル主演。 GReeeeNの楽曲「キセキ」の誕生までの実話がもとになっています。
「GReeeeN]さんと「サンシャイン池崎」さんの”JUTICE”の
リストバンドに対抗してみました。
開業し、今年10周年を迎えました。
平成20年度の「NHK全国学校音楽コンクール」の中学校の部の
課題曲がアンジェラ・アキさんの「手紙 ~拝啓 十五の君へ~」
だったので、テーマを『手紙 ~拝啓 十五の君へ~』にしました。

お気軽にお問合せください
お電話でのご予約・お問合せはこちら
ハロー サンキュー爽やかに
0120-86-3938
診療時間:10:00~13:00/14:00~19:00
※土曜日は17:00まで
休診日:木曜・日曜・祝日